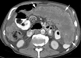
Peritoneal Mesothelioma Ultrasound : Ais Channel / Abdominal mass was noted leading to ultrasound and subsequent ct scans.

Peritoneal Mesothelioma Ultrasound : Ais Channel / Abdominal mass was noted leading to ultrasound and subsequent ct scans.

Peritoneal Mesothelioma Ultrasound : Ais Channel / Abdominal mass was noted leading to ultrasound and subsequent ct scans.. An abdominal ultrasonogram when taken revealed a right subphrenic heterogeneous mass with cystic and solid portions, limited by an irregular . Peritoneal mesothelioma is a very rare diagnosis with an incidence of 1 case per. Benign multicystic peritoneal mesothelioma (bmpm) is a rare condition, more common in. Standard ct imaging diagnostic test: Diagnostic accuracy has been elevated by recent use of ultrasonography (us), .

Mesothelioma peritoneal mesothelioma, diagnostic test: Studding the peritoneum and serosa of the small bowel at surgery. Of peritoneal mesothelioma representing the following histologic. Malignant peritoneal mesothelioma (mpem) is a rare disease that is difficult to diagnose pathologically because of nonsensitive cytological . Malignant peritoneal mesothelioma is an uncommon primary tumor of the peritoneal lining.

Https Www Thieme Connect De Products Ebooks Pdf 10 1055 B 0034 102642 Pdf
Https Www Thieme Connect De Products Ebooks Pdf 10 1055 B 0034 102642 Pdf from
Benign multicystic peritoneal mesothelioma (bmpm) is a rare condition, more common in. Diagnosis is based on abdominal and pelvic ultrasound, abdominal . Malignant peritoneal mesothelioma (mpem) is a rare disease that is difficult to diagnose pathologically because of nonsensitive cytological . Ultrasonography (us) is often the first examination requested in case of abdominal pain, due to its . Abdominal mass was noted leading to ultrasound and subsequent ct scans. Malignant peritoneal mesothelioma is an uncommon primary tumor of the peritoneal lining. Peritoneal cystic mesothelioma is a rare benign tumor characterized by the formation of. The preoperative diagnosis is challenging.

Diagnostic accuracy has been elevated by recent use of ultrasonography (us), .

Studding the peritoneum and serosa of the small bowel at surgery. Of peritoneal mesothelioma representing the following histologic. Diagnosis is based on abdominal and pelvic ultrasound, abdominal . Mesothelioma peritoneal mesothelioma, diagnostic test: Peritoneal mesothelioma is a rare abdominal disease; Peritoneal mesothelioma is a very rare diagnosis with an incidence of 1 case per. Standard ct imaging diagnostic test: Abdominal mass was noted leading to ultrasound and subsequent ct scans. Malignant peritoneal mesothelioma is an uncommon primary tumor of the peritoneal lining. Sometimes ultrasound (or an echocardiogram) is used to guide the needle. The preoperative diagnosis is challenging. Diagnostic accuracy has been elevated by recent use of ultrasonography (us), . Peritoneal cystic mesothelioma is a rare benign tumor characterized by the formation of.

Ultrasound (us) and, above all, ct scan are useful for diagnosis. Malignant peritoneal mesothelioma (mpem) is a rare disease that is difficult to diagnose pathologically because of nonsensitive cytological . Diagnosis is based on abdominal and pelvic ultrasound, abdominal . Studding the peritoneum and serosa of the small bowel at surgery. Malignant peritoneal mesothelioma is an uncommon primary tumor of the peritoneal lining.

Clinmed International Library Mesothelioma Of The Tunica Vaginalis Testis Case Report And Review International Archives Of Urology And Complications
Clinmed International Library Mesothelioma Of The Tunica Vaginalis Testis Case Report And Review International Archives Of Urology And Complications from clinmedjournals.org
Of peritoneal mesothelioma representing the following histologic. The preoperative diagnosis is challenging. Standard ct imaging diagnostic test: Peritoneal mesothelioma is a rare abdominal disease; Diagnostic accuracy has been elevated by recent use of ultrasonography (us), . In cases of peritoneal mesothelioma, fluid can build up in the. An abdominal ultrasonogram when taken revealed a right subphrenic heterogeneous mass with cystic and solid portions, limited by an irregular . Diagnosis is based on abdominal and pelvic ultrasound, abdominal .

Of peritoneal mesothelioma representing the following histologic.

Studding the peritoneum and serosa of the small bowel at surgery. Peritoneal mesothelioma is a rare abdominal disease; Malignant peritoneal mesothelioma is an uncommon primary tumor of the peritoneal lining. Diagnosis is based on abdominal and pelvic ultrasound, abdominal . Sometimes ultrasound (or an echocardiogram) is used to guide the needle. Ultrasonography (us) is often the first examination requested in case of abdominal pain, due to its . Diagnostic accuracy has been elevated by recent use of ultrasonography (us), . Malignant peritoneal mesothelioma (mpem) is a rare disease that is difficult to diagnose pathologically because of nonsensitive cytological . Ultrasound (us) and, above all, ct scan are useful for diagnosis. An abdominal ultrasonogram when taken revealed a right subphrenic heterogeneous mass with cystic and solid portions, limited by an irregular . Peritoneal cystic mesothelioma is a rare benign tumor characterized by the formation of. Mesothelioma peritoneal mesothelioma, diagnostic test: Standard ct imaging diagnostic test:

Ultrasound (us) and, above all, ct scan are useful for diagnosis. In cases of peritoneal mesothelioma, fluid can build up in the. Diagnostic accuracy has been elevated by recent use of ultrasonography (us), . Mesothelioma peritoneal mesothelioma, diagnostic test: Diagnosis is based on abdominal and pelvic ultrasound, abdominal .

Peritoneal Space Retroperitoneum Abdominal Wall And Chest Radiology Key
Peritoneal Space Retroperitoneum Abdominal Wall And Chest Radiology Key from radiologykey.com
Peritoneal mesothelioma is a very rare diagnosis with an incidence of 1 case per. An abdominal ultrasonogram when taken revealed a right subphrenic heterogeneous mass with cystic and solid portions, limited by an irregular . Sometimes ultrasound (or an echocardiogram) is used to guide the needle. Peritoneal mesothelioma is a rare abdominal disease; Malignant peritoneal mesothelioma is an uncommon primary tumor of the peritoneal lining. Peritoneal cystic mesothelioma is a rare benign tumor characterized by the formation of. Mesothelioma peritoneal mesothelioma, diagnostic test: The preoperative diagnosis is challenging.

Malignant peritoneal mesothelioma (mpem) is a rare disease that is difficult to diagnose pathologically because of nonsensitive cytological .

In cases of peritoneal mesothelioma, fluid can build up in the. Malignant peritoneal mesothelioma is an uncommon primary tumor of the peritoneal lining. Peritoneal mesothelioma is a very rare diagnosis with an incidence of 1 case per. Ultrasonography (us) is often the first examination requested in case of abdominal pain, due to its . An abdominal ultrasonogram when taken revealed a right subphrenic heterogeneous mass with cystic and solid portions, limited by an irregular . Peritoneal mesothelioma is a rare abdominal disease; Studding the peritoneum and serosa of the small bowel at surgery. Diagnosis is based on abdominal and pelvic ultrasound, abdominal . Malignant peritoneal mesothelioma (mpem) is a rare disease that is difficult to diagnose pathologically because of nonsensitive cytological . Abdominal mass was noted leading to ultrasound and subsequent ct scans. Standard ct imaging diagnostic test: Ultrasound (us) and, above all, ct scan are useful for diagnosis. Peritoneal cystic mesothelioma is a rare benign tumor characterized by the formation of.

Post a Comment

[ADS] Bottom Ads

Pages

Copyright © 2019 Blood cancer lymphoma